Korona virüs geçiren hastalarda yeni klinik bulgular: 'Uzamış Covid ve post Covid'
Korona virüs geçiren hastalarda yeni klinik bulgular: 'Uzamış Covid ve post Covid'
Göğüs Hastalıkları Uzmanı Prof. Dr. Şevket Özkaya, yaptıkları araştırmalar sonucunda Covid-19 geçiren hastaların neredeyse yarısından fazlasında görülen hem hastaların hem de hasta yakınlarının hayat kalitesini düşüren,
Korona virüs geçiren hastalarda yeni klinik bulgular: 'Uzamış Covid ve post Covid'
Göğüs Hastalıkları Uzmanı Prof. Dr. Şevket Özkaya, yaptıkları araştırmalar sonucunda Covid-19 geçiren hastaların neredeyse yarısından fazlasında görülen hem hastaların hem de hasta yakınlarının hayat kalitesini düşüren, iş gücünü etkileyen bir klinik durumla karşı karşıya olduklarını söyledi.
Korona virüs geçiren hastalarda yeni klinik bulgular: 'Uzamış Covid ve post Covid'
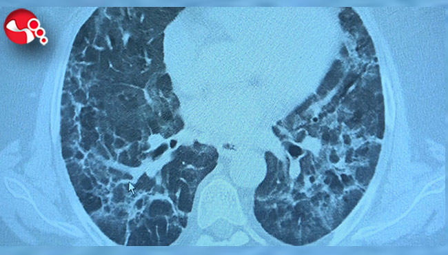
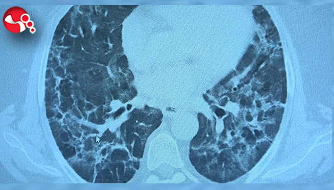
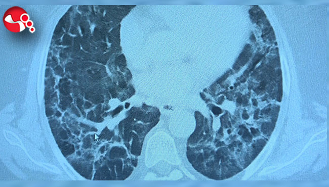
Korona virüs hastalığını atlatmış kişiler belli bir zaman geçtikten sonra halsizlik, nefes darlığı, enerjisi bitmiş şekilde tekrar kliniklere başvuru yapıyor. Uzmanların "uzamış Covid" ve “post Covid" dedikleri bu durum hem hastaların hem de hasta yakınlarının yaşam kalitesini olumsuz etkiliyor. Bu kapsamda 10 binin üzerinde Covid-19 hastası tedavi eden VM Medical Park Samsun Hastanesi'nde görevli Göğüs Hastalıkları Uzm. Prof. Dr. Şevket Özkaya ve Dr. Yağmur Sarıtaş klinikte karşılaştıkları yeni bir durumla ilgili bilgi verdi. Prof. Dr. Şevket Özkaya, Covid-19 geçirmiş ve tekrar farklı şikayetlerle kendisine başvuru yapmış hastaların akciğerlerini inceledi. Hastaların akciğerl
"UZAMIŞ COVİD DEDİĞİMİZ BİR KLİNİK TABLO İLE KARŞI KARŞIYAYIZ"
Bu durumun virüsün vücuda verdiği sistemik inflamatuar dedikleri yeni bir hastalık olup olmadığını araştırdıklarını ifade eden Prof. Dr. Şevket Özkaya, "Covid-19 geçiren hastalarımızın neredeyse yarısından fazlasında görülen, hem hastaların hem de hasta yakınlarının hayat kalitesini düşüren, iş gücünü etkileyen bir klinik durumla karşı karşıyayız. Bu uzamış Covid ve post Covid adını verdiğimiz konu hakkında bilgi vermek istiyoruz. Özellikle Covid tanısı ve tedavisi yapan kliniklerde en büyük sıkıntılardan biri, uzamış Covid dediğimiz bir klinik tablo görülmeye başlanması. Bunu hastalarımızın yarısından fazlasında görüyoruz. Dünya Sağlık Örgütü (DSÖ) bu hastalığının evrelerini 3'e ayırdı. İlk 1 ayda hastalığın enfeksiyonun verdiği klinik belirtilerinin olduğu dönem olarak tanımlanıyor. 3 aya kadar ise hastalığın uzamış Covid dediğimiz etkileri var. 3 aydan sonra ise post Covid dediğimiz bir tablo var. Biz bu post Covid durumunu virüse bağlı mı yoksa virüsün vücudumuza verdiği sistemik inflamatuar dediğimiz yeni bir hastalık olup olmadığını henüz aydınlatabilmiş değiliz. Hastaların 3 aydan sonra bile şikayetleri oluyor. 3 aya kadar bu hastalar halsizlik, günlük işlerini yaparken yorulma ve kendi enerjileri bitmiş gibi hissediyorlar. Bir sabah çok iyi uyanıyorlar, öğleden sonra çok kötü oluyorlar. Bir gece hiç uyuyamıyorlar, sabah iyi oluyorlar. Böyle değişik bir tablo içinde hastalarımız. Uzamış Covid hastalarında ortaya çıkan en büyük belirtilerden biri ise nefes darlığıdır. Bu nefes darlığı akciğerin harabiyeti sonrası oluşan nefes darlığı mı yoksa derin nefes alma ihtiyacı dediğimiz bir psikolojik durum mu henüz bilmiyoruz” dedi.
"BÖYLE YIPRATICI, HARAP EDİCİ BİR KLİNİK TABLO ORTAYA ÇIKIYOR"
Kliniğe gelen kişilerin akciğer tomografilerine inceleyen Prof. Dr. Özkaya, "62 yaşında bir teyzemiz 11 Mart'ta yoğun bakımda solunum yetmezliği ile hastaneye yattığında hayati tehlikesi vardı ve Covid- 19'u atlattı. Yalnız aradan 3 ay geçmesine rağmen hala akciğerinde Covid - 19'un uzamış etkileri dediğimiz sekel lezyonları var. Bu hasta nefes darlığı çekiyor. Diğer bir vaka örneği verirsek, 62 yaşında bir erkek hasta. Mart'ın sonlarında geldiğinde röntgeninde küçücük buzlu camları vardı. Birden Nisan'ın ilk haftası 10 gün içinde çok yaygın lezyonlar olmaya başladı. Yoğun bakımda takip etmek zorunda kaldık. Bu hastamızın hayatı kurtulduktan sonra filmine baktığımızda yine sekel lezyonlar görüyoruz. Böyle yıpratıcı, harap edici bir klinik tablo ortaya çıkıyor" diye konuştu.
NÖROLOJİK OLARAK ÇOK SIK ŞİKAYETLERİMİZ OLUYOR"
Bazı nörolojik ve psikolojik durumlarla da karşılaştıklarını söyleyen Prof. Dr. Özkaya, "Hastalar baş ağrısı, tat ve koku kaybının çok uzun sürmesi, konsantrasyon bozukluğu gibi şikayetlerle geliyor. Son olarak en büyük sıkıntılarımızdan biri ise bu hastalığa yakalanan kişilerde ve yakınlarını kaybeden insanlarda tekrar hastalığa yakalanma ve tekrar yakınlarını kaybetme konusunda anksiyete gelişmesi" şeklinde konuştu.
"O KABUS DOLU GÜNLERİ YAŞAMAK İSTEMİYORUZ"
Geçen yıldaki normalleşme ile bu yılki normalleşme dönemini karşılaştıran Prof. Dr. Özkaya, "Geçen yıl 1 Haziran'da aynı bu yıl olduğu gibi normalleşmeye başladık. Yazın fena değildik ama Kurban Bayramı sonrası kontrolsüz normalleşmenin ciddi sonuçlarını gördük. Çok sayıda insan yoğun bakıma alındı ve kaybedildi. Gerçekten geçen yılki 1 Haziran'da normalleşme ile yaşadığımız o kabus dolu günleri yaşamak istemiyoruz. Bu durumu ayıran en önemli faktör aşıdır. Aşı sırası gelen herkesin aşılarını olmasını istiyoruz" ifadelerini kullandı.
Furkan Abrek Ünalerinde sekel lezyon denilen lekelerin görülmeye devam ettiğini belirtti.iş gücünü etkileyen bir klinik durumla karşı karşıya olduklarını söyledi.eçiren hastalarda yeni klinik bulgular: 'Uzamış Covid ve post Covid'
Haber :




































