LAZERLE DİŞİN YENİDEN BÜYÜMESİNİ SAĞLAYAN BİR YÖNTEM BULUNDU
Harvard Üniversitesi'ndeki bir grup bilim insanı dişleri yeniden büyütmenin bir yolunu buldular. Söz konusu teknoloji daha da geliştirilebilirse halen sıkça başvurulan diş dolgusu ve protez dişlerin yerine geçebilir, hatta yara iyileştirme, kemik yenileme ve daha birçok diğer iyileştirici yöntemin önünü açabilir.
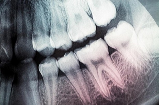
Geçtiğimiz günlerde Science Translational Medicine dergisinde yayınlanan makalede anlatılan ve dişin yeniden büyümesini sağlayan bu yöntem tıpkı bir bilim kurgu romanından fırlamış gibi duruyor. Araştırmayı gerçekleştiren ekip diş gövdesindeki hücreleri tetiklemek ve dentin adı verilen yapıyı yeniden oluşturmasını sağlamak için düşük güçte lazer ışını kullanmış. Dentin, oldukça sert, kemik benzeri bir yapı. Diş minesinin altında yer alan dentin aynı zamanda diş kütlesinin esas parçasını oluşturuyor.
Söz konusu teknik oldukça heyecan verici çünkü diş gövdesine bulunan hücrelerin bulundukları yerde yenilenmesi bugüne kadar sağlanamıyordu. Bilim insanları bundan önce kullandıkları tekniklerde bu gövde hücrelerini ancak vücuttan izole edip bir laboratuvar ortamında belirli bir hücre tipi yetiştirmek için kullanabiliyorlardı. Bu da zor olmakla ve aşırı vakit almakla kalmıyor aynı zamanda yasal açıdan da birçok sorun oluşturuyordu. Bu yeni lazer temelli yöntem ise çok daha hızlı ve yasal tartışmalardan sağ çıkabilme kapasitesine sahip, üstelik başarılı olma oranı çok daha yüksek.
Haber :




































